Skip to content Skip to sidebar Skip to footer

Widget HTML #1

Anterior Superior Iliac Spine, Appendicular Skeleton And Joints Ppt Download : It can be palpated by putting the hands at the top of the hipbones and following the bony margins toward the front of the hips.

Anterior Superior Iliac Spine, Appendicular Skeleton And Joints Ppt Download : It can be palpated by putting the hands at the top of the hipbones and following the bony margins toward the front of the hips.. The posterior border of the ala, shorter than the anterior, also presents two projections separated by a notch, the posterior superior iliac spine and the posterior inferior iliac spine. Jun 28, 2021 · insertion: Asis, anterior superior iliac spine. Diagnosis is made with pelvis radiographs that shows an avulsion off the aiis. Anterior angulation of the coccyx may be a normal variant but poses a diagnostic challenge for those considering coccygeal trauma.

Classification four types of coccyx have been described: The anterior superior iliac spine is a bony projection of the iliac bone, and an important landmark of surface anatomy. It can be palpated by putting the hands at the top of the hipbones and following the bony margins toward the front of the hips. The blog post articles in this. Jun 09, 2015 · at the posterior end of the ilium, the iliac crest narrows before terminating at another bony process known as the posterior superior iliac spine.

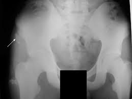
Accuracy Of Anterior Superior Iliac Spine Symmetry Assessment By Routine Structural Examination
Accuracy Of Anterior Superior Iliac Spine Symmetry Assessment By Routine Structural Examination from www.degruyter.com
Anterior angulation of the coccyx may be a normal variant but poses a diagnostic challenge for those considering coccygeal trauma. Jun 28, 2021 · insertion: It can be palpated by putting the hands at the top of the hipbones and following the bony margins toward the front of the hips. Classification four types of coccyx have been described: The anterior superior iliac spine refers to the anterior extremity of the iliac crest of the pelvis. Outer lip of anterior iliac crest, anterior superior iliac spine (asis) insertion: An anterior superior iliac spine (asis) avulsion is a traumatic avulsion of the asis due to a sudden and forceful contraction of the sartorius and tensor fascia lata that occurs in young athletes. Thigh abduction, thigh internal rotation (anterior part);

It refers to the anterior extremity of the iliac crest of the pelvis.

It provides attachment for the inguinal ligament , the sartorius muscle , 1 4 and the tensor fasciae latae muscle. The anterior superior iliac spine (asis) is the most anterior part of the iliac crest. An anterior superior iliac spine (asis) avulsion is a traumatic avulsion of the asis due to a sudden and forceful contraction of the sartorius and tensor fascia lata that occurs in young athletes. Asis, anterior superior iliac spine. This part is the most observable and palpable of the pelvis. The posterior border of the ala, shorter than the anterior, also presents two projections separated by a notch, the posterior superior iliac spine and the posterior inferior iliac spine. Diagnosis is made radiographically with displaced injuries but ct/mri may be required to diagnosis nondisplaced fractures. It provides attachment for the inguinal ligament, and the sartorius muscle. An anterior inferior iliac spine (aiis) avulsion is an apophyseal avulsion injury seen in adolescent athletes as a result of eccentric contraction of the rectus femoris. It refers to the anterior extremity of the iliac crest of the pelvis. The anterior superior iliac spine refers to the anterior extremity of the iliac crest of the pelvis. Outer lip of anterior iliac crest, anterior superior iliac spine (asis) insertion: Classification four types of coccyx have been described:

Outer lip of anterior iliac crest, anterior superior iliac spine (asis) insertion: It provides attachment for the inguinal ligament, and the sartorius muscle. The tensor fasciae latae muscle attaches to the lateral aspect of the superior anterior iliac spine, and also about 5 cm away at the i. Aug 29, 2017 · aiis, anterior inferior iliac spine; Asis, anterior superior iliac spine.

Anterior Superior Iliac Spine Hd Stock Images Shutterstock
Anterior Superior Iliac Spine Hd Stock Images Shutterstock from image.shutterstock.com
The posterior border of the ala, shorter than the anterior, also presents two projections separated by a notch, the posterior superior iliac spine and the posterior inferior iliac spine. Aug 29, 2017 · aiis, anterior inferior iliac spine; It refers to the anterior extremity of the iliac crest of the pelvis. The anterior superior iliac spine refers to the anterior extremity of the iliac crest of the pelvis. Many different muscles of the trunk and thigh attach to the iliac crest. Thigh abduction, thigh internal rotation (anterior part); Anterior angulation of the coccyx may be a normal variant but poses a diagnostic challenge for those considering coccygeal trauma. Asis, anterior superior iliac spine.

The anterior superior iliac spine refers to the anterior extremity of the iliac crest of the pelvis.

Outer lip of anterior iliac crest, anterior superior iliac spine (asis) insertion: Aug 29, 2017 · aiis, anterior inferior iliac spine; Asis, anterior superior iliac spine. The posterior border of the ala, shorter than the anterior, also presents two projections separated by a notch, the posterior superior iliac spine and the posterior inferior iliac spine. An anterior superior iliac spine (asis) avulsion is a traumatic avulsion of the asis due to a sudden and forceful contraction of the sartorius and tensor fascia lata that occurs in young athletes. The tensor fasciae latae and sartorius muscles of the thigh have their origins at the anterior superior spine. An anterior inferior iliac spine (aiis) avulsion is an apophyseal avulsion injury seen in adolescent athletes as a result of eccentric contraction of the rectus femoris. It provides attachment for the inguinal ligament, and the sartorius muscle. The posterior superior iliac spine serves for the attachment of the oblique portion of the posterior sacroiliac ligaments and the multifidus. It provides attachment for the inguinal ligament , the sartorius muscle , 1 4 and the tensor fasciae latae muscle. It can be palpated by putting the hands at the top of the hipbones and following the bony margins toward the front of the hips. Classification four types of coccyx have been described: Diagnosis is made radiographically with displaced injuries but ct/mri may be required to diagnosis nondisplaced fractures.

The blog post articles in this. Outer lip of anterior iliac crest, anterior superior iliac spine (asis) insertion: The anterior superior iliac spine is a bony projection of the iliac bone, and an important landmark of surface anatomy. The tensor fasciae latae muscle attaches to the lateral aspect of the superior anterior iliac spine, and also about 5 cm away at the i. Thigh abduction, thigh internal rotation (anterior part);

Anterior Anterior Superior Iliac Spine Posterior Articular Part Abdominal Anterion Inferior Iliac Spine Linea Terminalis Pelvic Part Greater Sciatic Notch Lesser Sciatic Notch Pubic Tubercle Ischial Tuberosity Articular Surface For Pubic Symphysis
Anterior Anterior Superior Iliac Spine Posterior Articular Part Abdominal Anterion Inferior Iliac Spine Linea Terminalis Pelvic Part Greater Sciatic Notch Lesser Sciatic Notch Pubic Tubercle Ischial Tuberosity Articular Surface For Pubic Symphysis from pics.me.me
This is a key surface landmark , and easily palpated. Anterior aspect of greater trochanter of femur innervation: It can be palpated by putting the hands at the top of the hipbones and following the bony margins toward the front of the hips. The tensor fasciae latae and sartorius muscles of the thigh have their origins at the anterior superior spine. Many different muscles of the trunk and thigh attach to the iliac crest. An anterior inferior iliac spine (aiis) avulsion is an apophyseal avulsion injury seen in adolescent athletes as a result of eccentric contraction of the rectus femoris. The coccyx is curved slightly forward, with its. Outer lip of anterior iliac crest, anterior superior iliac spine (asis) insertion:

It can be palpated by putting the hands at the top of the hipbones and following the bony margins toward the front of the hips.

The coccyx is curved slightly forward, with its. It can be palpated by putting the hands at the top of the hipbones and following the bony margins toward the front of the hips. Outer lip of anterior iliac crest, anterior superior iliac spine (asis) insertion: Diagnosis is made with pelvis radiographs that shows an avulsion off the aiis. Jun 09, 2015 · at the posterior end of the ilium, the iliac crest narrows before terminating at another bony process known as the posterior superior iliac spine. Anterior angulation of the coccyx may be a normal variant but poses a diagnostic challenge for those considering coccygeal trauma. Anterior aspect of greater trochanter of femur innervation: It provides attachment for the inguinal ligament , the sartorius muscle , 1 4 and the tensor fasciae latae muscle. The posterior superior iliac spine serves for the attachment of the oblique portion of the posterior sacroiliac ligaments and the multifidus. The tensor fasciae latae muscle attaches to the lateral aspect of the superior anterior iliac spine, and also about 5 cm away at the i. An anterior superior iliac spine (asis) avulsion is a traumatic avulsion of the asis due to a sudden and forceful contraction of the sartorius and tensor fascia lata that occurs in young athletes. Thigh abduction, thigh internal rotation (anterior part); Jun 28, 2021 · insertion: